Rotate phone
transition image

Everything is a

Matter of Skin

Let's talk about your skin

landing portrait landing portrait
RED AND FLAKY SPOTS

Psoriasis

landing introduction
HEALTHY SKIN
WITH BIOLOGICAL
THERAPIES

THE TRUE SOLUTION

Irritation, redness and scaling of the skin are symptoms of psoriasis. These usually appear on your elbows, knees and scalp. They can also appear on the joints, causing pain. This is known as psoriatic arthritis.

About the treatment

For decades, psoriasis has been treated with creams, pills and UV light. Milder cases usually improve with these treatments, but in more severe cases, effectiveness is limited.
Since 2006, Dr Pablo Gonzalez has been participating in clinical trials to develop new biological therapies which are still used to treat mild to severe psoriasis. These modern, selective and targeted procedures are safer and more effective than conventional ones. It’s time to resort to those professionals who know the most about psoriasis to get truly healthy skin.

landing about

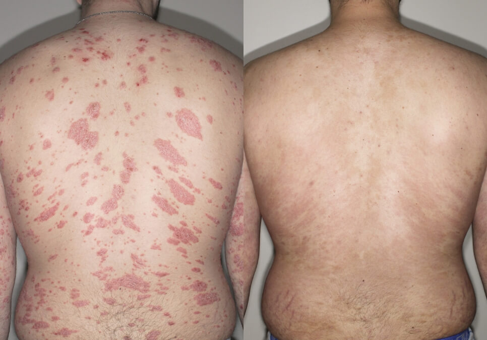
real cases
Before & after

Psoriasis

Biologic therapy

slider image
Psoriasis

Biologic therapy

slider image
Psoriasis

Biologic therapy

slider image
Psoriasis

Biologic therapy

slider image
Transform your skin — Transform your skin —  Transform your skin — Transform your skin — 

Fill out the following form

We will contact you as soon as possible.
NAME
EMAIL
PHONE
MESSAJE
back to treatments back to tratments
CLINICAL DERMATOLOGY

back to
treatments